Call us today! - 01606 47234
Our Practice
Our Team
Our Treatments
Orthodontics
Removable Braces
Fixed Metal Braces
Fixed Cosmetic Braces
Functional Braces
Invisalign
Lingual Braces
Autograph Aligner
Teeth Whitening
Gum Shields
PATIENT ADVICE
Patient Advice Leaflets
Patient self-help videos
Smile Gallery
Latest News
Appointments
Contact Us
Our Practice
Our Team
Our Treatments
Orthodontics
Removable Braces
Fixed Metal Braces
Fixed Cosmetic Braces
Functional Braces
Invisalign
Lingual Braces
Autograph Aligner
Teeth Whitening
Gum Shields
PATIENT ADVICE
Patient Advice Leaflets
Patient self-help videos
Smile Gallery
Latest News
Appointments
Contact Us
Smile Gallery
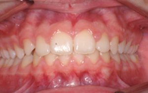
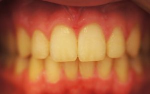
Case 1
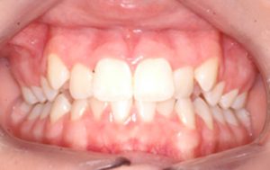
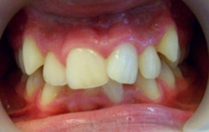
Case 2
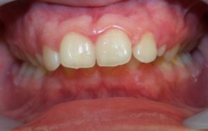
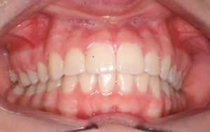
Case 3
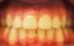
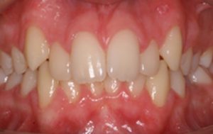
Case 4
Take a look at
our dental treatments
Read More »
Read More »
Read More »
Read More »
Read More »